상담
🐱 고양이치과 진료

광주 고양이 치과 동물병원: 만성 구내염 다발성 발치 후 통증 없는 일상 회복

2026년 4월 15일 오전 07:05필드 (코리안숏헤어)조회 1

📌 핵심 요약

타원에서 단순 스케일링 후 증상이 악화된 만성 구내염 고양이의 다발성 발치 시술 케이스입니다. 정밀 진단을 통해 통증의 근본 원인을 파악하고 상·하악 다수 치아를 안전하게 제거하여, 현재는 식욕을 되찾고 통증 없이 건강하게 회복 중입니다. 구내염은 정확한 진단과 발치 치료가 필수적임을 보여줍니다.

#광주 동물병원#광주 치과 동물병원#광주 고양이 치과#광주 서구#금호동#광주 전남 유일 치과 CT#광주 스케일링#광주 발치#전남 동물병원#치과 전문 동물병원 추천
📌 핵심 3줄 요약
타원에서 단순 스케일링 후 증상이 악화된 만성 구내염 고양이의 다발성 발치 시술 케이스입니다.
정밀 진단을 통해 통증의 근본 원인을 파악하고 상·하악 다수 치아를 안전하게 제거하여, 현재는 식욕을 되찾고 통증 없이 건강하게 회복 중입니다.
구내염은 치과 전문 수의사의 정확한 진단과 발치 치료가 필수적임을 보여줍니다.

1. 환자 소개 및 내원 사유: 식음을 전폐한 구조묘 필드

오늘 소개해 드릴 환자는 마음씨 따뜻한 보호자님께서 구조하여 정성껏 돌보고 계시는 4kg의 코리안숏헤어 고양이, '필드'입니다. 필드는 내원 2주 전, 타 병원에서 구내염 진단을 받고 스케일링과 스테로이드 약물 치료를 진행했습니다. 당시에는 발치가 필요 없다는 안내를 받았다고 합니다.

하지만 스케일링 후 약 2주 정도 괜찮아 보였던 필드는 어제부터 밥을 전혀 먹지 못하고 극심한 사료 흘림과 심한 침 흘림을 보이기 시작했습니다. 기운이 전혀 없고 자발 식이와 음수마저 중단된 상태로 머리를 심하게 터는 통증 반응을 보여, 치과 전문 진료가 가능한 광주 동물병원을 수소문하신 끝에 금호동물병원에 내원하셨습니다. 만성 구내염 케이스는 일반적인 치석 제거만으로는 해결되지 않는 경우가 많아 전문적인 접근이 필요합니다.

침 흘림과 통증으로 내원한 고양이 필드의 내원 당시 모습

⚠️ 주의

고양이의 만성 구내염은 겉으로 보이는 치석만 제거한다고 낫지 않습니다. 치아 뿌리와 잇몸뼈(치조골)의 상태를 정확히 평가하지 않으면, 고양이는 잇몸 부종과 극심한 통증으로 인해 밥을 먹지 못하게 됩니다.

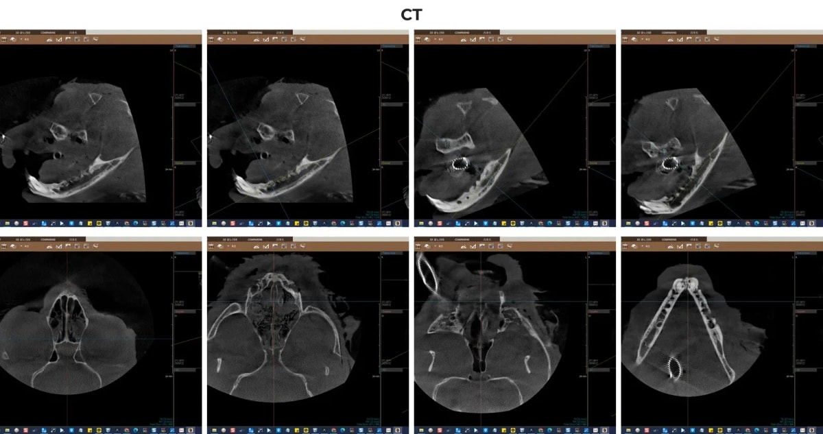
2. CT 진단의 중요성: 숨겨진 병변의 발견

육안으로 볼 때 필드의 입 안은 붉은 염증이 심하게 번져 있었지만, 정확히 어느 치아를 발치해야 할지 결정하기 위해서는 잇몸 아래의 뼈 상태를 확인해야 합니다. 일반적인 시진만으로는 치조골 흡수(잇몸뼈가 녹는 현상)의 정도나 뿌리의 기형 여부를 100% 파악하기 어렵습니다.

ℹ️ 치과 CT의 중요성

광주 전남 유일 동물전용 치과 CT는 3차원 영상을 제공하여, 일반 엑스레이에서 겹쳐 보이는 복잡한 상악골과 하악골 구조를 명확히 분리해 줍니다. 이를 통해 치근 분기부의 뼈 소실, 치아 흡수성 병변의 미세한 징후, 잔존 치근 등을 단 한 번의 촬영으로 정밀하게 진단할 수 있습니다.

치과 전용 CT를 통해 필드의 치주 질환 및 잇몸뼈 상태를 분석하는 화면

3. 수술 전 구강 방사선(엑스레이) 평가

CT 촬영 후 국소적인 병변을 더욱 세밀하게 확인하기 위해 디지털 구강 방사선 촬영을 진행했습니다. 검사 결과, 상악 송곳니(104, 204번)와 다수의 상·하악 어금니 부위에서 심각한 치조골 소실이 확인되었습니다. 이 부위들은 가벼운 접촉만으로도 잇몸 출혈이 발생할 만큼 염증이 심각했습니다.

반면, 하악의 일부 송곳니(304, 404번)와 일부 어금니는 다행히 아직 치조골이 유지되고 있어, 무리한 전발치보다는 부분 발치 및 모니터링을 결정했습니다.

수술 전 필드의 구강 방사선 엑스레이 - 다발성 치조골 소실 확인

4. 질병에 대한 전문적 설명: 고양이 만성 구내염(FCGS)

필드를 괴롭힌 질환은 고양이 만성 구내염입니다. 이는 구강 내 플라그나 치아 자체에 대한 고양이의 면역 체계가 비정상적으로 과민 반응을 일으켜 구강 점막, 목구멍, 잇몸 등에 심각한 궤양과 염증을 유발하는 질병입니다.

초기에는 입 냄새와 잇몸 발적으로 시작되지만, 진행되면 치아 흔들림, 음수 거부, 통증으로 인한 그루밍 불량 등의 증상이 나타납니다. 내과적인 약물(스테로이드 등) 치료는 일시적인 통증 완화 효과만 있을 뿐, 약물 내성이 생기면 더 큰 고통을 초래하므로, 광주 고양이 치과 수의사의 정확한 진단 하에 원인 치아를 발치하는 것이 최선의 치료법입니다.

5. 맞춤형 수술 과정: 안전한 다발성 발치 시술

수술 전 마취 전 검사에서 필드는 백혈구 수치(WBC 37) 상승과 혈소판(Plt 285) 수치 감소가 확인되었으며, 심잡음 2단계(Murmur Grade 2) 판정을 받았습니다. 이는 신체 내 강한 염증 반응과 약해진 체력을 의미합니다. 이러한 악조건 속에서도 금호동물병원은 철저한 대비 하에 수술을 시작했습니다.

상악 송곳니(104, 204)를 포함하여 염증이 심한 어금니들(107, 108, 207, 208, 307, 308, 309, 407, 408, 409)을 대상으로 발치를 진행했습니다. 수술 중 잇몸뼈 손상을 최소화하기 위해 첨단 초음파 수술기인 Piezotome을 사용하였고, 신경차단마취를 통해 수술 중 통증을 완벽히 차단했습니다.

특히 상악 송곳니 발치 시 잇몸 결손 부위가 넓게 생기는데, 이를 섬세하게 잇몸 플랩(Flap) 봉합하여 회복을 도왔습니다. 하악 송곳니는 보존하였으므로, 향후 윗입술이 말려 들어가는 입술 갇힘 증상이 없는지 주의 깊은 관리가 필요합니다.

피에조톰 장비를 이용한 필드의 상하악 다발성 치아 발치 수술 과정

6. 환자 맞춤형 마취 안전성: 심장 질환 환자도 안전하게

🩺 마취 안전 모니터링 시스템

필드처럼 심잡음이 있고 염증 수치가 높은 고양이는 마취에 매우 취약합니다. 금호동물병원에서는 마취 유도제로 심혈관계 부작용이 적은 알팍산(Alfaxan)을 사용하였으며, 수술 전 과정에 걸쳐 AI 실시간 마취 모니터링 시스템으로 환자의 심박수, 혈압, 산소포화도를 안전하게 관리했습니다. 혈소판 감소로 인한 지혈 문제를 예방하기 위해 세밀한 지혈 처치도 동반되었습니다.

7. 수술 후 엑스레이 및 회복: 통증 없는 내일을 위해

발치 수술 직후 촬영한 구강 방사선 사진을 통해, 남은 치근(뿌리) 조각 하나 없이 깔끔하게 시술이 완료되었음을 보호자님께 확인시켜 드렸습니다. 치근이 남게 되면 염증이 재발할 수 있으므로, 광주 발치 전문 병원에서의 수술 후 엑스레이 확인은 필수입니다.

수술 후 필드의 구강 방사선 엑스레이 - 잔존 치근 없이 깔끔하게 발치된 모습

수술 후 통증 관리를 위해 액상 진통제(베트로캄)를 처방하였고, 수술 부위의 붓기 감소와 세포 재생을 돕는 회복 촉진 레이저 시술을 진행했습니다. 잇몸 상처 보호를 위해 구강점막 보호제와 구강 항생연고도 함께 처방되었습니다. 길고양이를 구조하여 치료하시는 보호자님의 따뜻한 마음에 보답하고자 특별 할인을 적용해 드렸으며, 보호자님께서도 치료 결과에 매우 만족하셨습니다.

📋 치료 경과 한눈에 보기

  • 내원 상태: 스케일링 후 증상 악화, 심한 침 흘림과 식욕 부진.
  • 검사 결과: 백혈구 상승, 심잡음 2단계, 치과 방사선 상 다수의 치조골 소실 확인.
  • 치료 내용: 피에조톰을 이용한 안전한 상하악 다발성 발치 및 꼼꼼한 잇몸 봉합.
  • 향후 관리: 보존된 하악 송곳니 부분 치아흡수 모니터링 및 1년 뒤 정기 리첵 예정.

8. 보호자님들이 자주 묻는 질문 (Q&A)

Q. 길고양이 구조 후 구내염을 발견했는데, 단순 스케일링이나 약물 치료만으로 완치가 안 되는 이유는 무엇인가요?

고양이 만성 구내염(FCGS)은 치아 표면의 치태나 치석에 대한 과도한 면역 반응으로 발생합니다. 스케일링으로 일시적인 치석 제거는 가능하지만, 원인이 되는 치아 구조가 남아있는 한 면역 반응이 지속되어 염증이 재발합니다. 따라서 근본적인 치료를 위해서는 문제가 되는 치아를 발치하는 것이 가장 효과적입니다.

Q. 타 병원에서 스테로이드로 관리하던 고양이가 침을 심하게 흘리고 머리를 자주 터는 이유는 무엇 때문일까요?

스테로이드는 일시적으로 염증을 억제하지만, 병변이 계속 진행되면 약효가 떨어지면서 극심한 구강 통증이 다시 찾아옵니다. 침을 심하게 흘리거나 머리를 터는 행동, 앞발로 입 주변을 문지르는 행동 등은 잇몸 부종과 치아 흔들림으로 인한 통증을 참지 못해 나타나는 전형적인 치과 질환 악화 증상입니다.

Q. 상악 송곳니를 대거 발치한 후, 보호자가 집에서 특히 주의 깊게 관찰해야 할 '입술 갇힘(Lip entrapment)' 증상은 무엇인가요?

위쪽 송곳니(상악 견치)가 사라지면, 아래쪽 송곳니가 윗입술 안쪽 점막을 찌르거나 입술이 입 안으로 말려 들어가는 현상이 발생할 수 있습니다. 수술 후 며칠 동안 고양이가 입을 다물 때 윗입술이 부자연스럽게 물리거나 해당 부위에 상처가 생기지 않는지 세심하게 모니터링해야 하며, 문제가 있을 시 내원하여 교정 조치를 받아야 합니다.

Q. 심장 잡음 2단계(Murmur Grade 2) 진단을 받은 고양이가 다수 발치 수술을 받을 때 마취 위험성은 어떻게 관리하나요?

심장 질환 소견이 있는 환자의 경우 전신 마취 시 혈압 및 심박수 저하 위험이 큽니다. 금호동물병원에서는 호흡기 마취 장비와 환자 모니터링 시스템을 통해 실시간으로 상태를 체크하며, 알팍산(Alfaxan)과 같은 심장 부담이 적은 안전한 마취제를 사용하여 마취 위험을 최소화합니다.

9. 진료 비용 안내 및 진료 상담

결정 요소 설명
환자 체중 및 나이 마취 약물 용량 및 수술 난이도에 영향을 미칩니다.
발치 치아의 개수 발치 부위가 많을수록 시술 시간과 비용이 비례하여 증가합니다.
추가 시술 및 약물 도입마취 변경, 회복 촉진 레이저, 구강점막 보호제 적용 여부에 따라 달라집니다.
🐱 4kg환자 체중 (코숏)
⏱️ 120분수술 소요 시간
🦷 12개발치 치아 수

사랑하는 반려동물의 이유 없는 침 흘림이나 식욕 부진, 치과 질환이 의심된다면 광주 치과 전문 금호동물병원으로 문의해 주세요. 24시간 언제든 AI 챗봇(kumhovet.kr)을 통해 비용 안내를 받아보실 수 있습니다.

💬 카카오톡으로 예약 상담
금호동물병원 치과 클리닉 | 광주 서구 금호동 | 2000년 개원, 25년 치과 특화 진료
🏥

금호동물병원 치과 클리닉

2000년 개원, 25년+ 치과 특화 진료

📍 광주 서구 금호동 | 광주·전남 유일 동물전용 치과CT 보유

수의치과 전문25년+ 임상치과CT 보유AI 마취 모니터링

우리 아이도 치과 검진이 필요하신가요?

금호동물병원에서 전문 상담을 받아보세요.

    광주 고양이 치과 동물병원: 만성 구내염 다발성 발치 후 통증 없는 일상 회복 | 금호동물병원 | 광주 금호동물병원 (치과 특화)